Chinese Journal of Clinical Pharmacology and Therapeutics ›› 2026, Vol. 31 ›› Issue (2): 196-203.doi: 10.12092/j.issn.1009-2501.2026.02.007
Previous Articles Next Articles
Wenxia QI1(
), Gang WANG1, Yanfeng YAN2,*(
), Jiexiang TIAN1, Hailong LIU1, Yong WEI1,3, Jia WANG3
Received:2024-09-25
Revised:2024-12-27
Online:2026-02-26
Published:2026-03-17
Contact:
Yanfeng YAN
E-mail:2716633581@qq.com;847044189@qq.com
CLC Number:
Wenxia QI, Gang WANG, Yanfeng YAN, Jiexiang TIAN, Hailong LIU, Yong WEI, Jia WANG. Study on the effect of ZiYin RunZao (ZYRZ) pill on the inflammation and function of submandibular gland in mice with Sjögren's syndrome[J]. Chinese Journal of Clinical Pharmacology and Therapeutics, 2026, 31(2): 196-203.
| Gene | Primer type | Primer sequence |
| AQP5 | Forward | CATGAACCCAGCCCGATCTT |
| Reverse | CTCAGCGAGGAGGGGAAAAG | |
| M3R | Forward | ACGAACAACAAAACGAGCCG |
| Reverse | AGATGACCGTTTCGTGCCTT |
Table 1 qPCR primers
| Gene | Primer type | Primer sequence |
| AQP5 | Forward | CATGAACCCAGCCCGATCTT |
| Reverse | CTCAGCGAGGAGGGGAAAAG | |
| M3R | Forward | ACGAACAACAAAACGAGCCG |
| Reverse | AGATGACCGTTTCGTGCCTT |
| Group | Dose (g/kg) | Daily water intake (g) | ||||
| 0 week | 2 weeks | 4 weeks | 6 weeks | 8 weeks | ||
| Normal | - | 3.82±0.08 | 3.98±0.11 | 4.16±0.09 | 4.27±0.12 | 4.44±0.07 |
| Model | - | 4.11±0.08b | 4.65±0.20b | 5.18±0.15b | 5.41±0.34b | 6.20±0.18b |
| Hydroxychloroquinb sulfatb | 60 mg/kg | 4.25±0.09b | 4.60±0.13b | 4.77±0.15be | 4.75±0.15be | 4.69±0.13be |
| Ziyinrunzao pill low | 0.45 | 4.20±0.11b | 4.50±0.11b | 4.81±0.09be | 4.86±0.13be | 4.97±0.28be |
| Ziyinrunzao pill medium | 0.89 | 4.28±0.09b | 4.43±0.09b | 4.70±0.24be | 4.68±0.19be | 4.64±0.17be |
| Ziyinrunzao pill high | 1.78 | 4.26±0.09b | 4.50±0.15b | 4.77±0.08be | 4.73±0.07be | 4.68±0.07be |
Table 2 Comparison of water intake among different groups of mice ($ \overline{x} $±s, n=8)
| Group | Dose (g/kg) | Daily water intake (g) | ||||
| 0 week | 2 weeks | 4 weeks | 6 weeks | 8 weeks | ||
| Normal | - | 3.82±0.08 | 3.98±0.11 | 4.16±0.09 | 4.27±0.12 | 4.44±0.07 |
| Model | - | 4.11±0.08b | 4.65±0.20b | 5.18±0.15b | 5.41±0.34b | 6.20±0.18b |
| Hydroxychloroquinb sulfatb | 60 mg/kg | 4.25±0.09b | 4.60±0.13b | 4.77±0.15be | 4.75±0.15be | 4.69±0.13be |
| Ziyinrunzao pill low | 0.45 | 4.20±0.11b | 4.50±0.11b | 4.81±0.09be | 4.86±0.13be | 4.97±0.28be |
| Ziyinrunzao pill medium | 0.89 | 4.28±0.09b | 4.43±0.09b | 4.70±0.24be | 4.68±0.19be | 4.64±0.17be |
| Ziyinrunzao pill high | 1.78 | 4.26±0.09b | 4.50±0.15b | 4.77±0.08be | 4.73±0.07be | 4.68±0.07be |
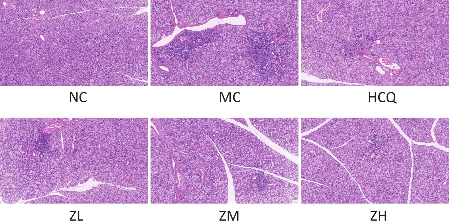
Fig.1 Pathological changes of SMG in different groups of mice (HE staining, 200x) NC: Normal group; MC: Model group; HCQ: Hydroxychloroquinb sulfatb group; ZL: Ziyinrunzao pill low group; ZM: Ziyinrunzao pill medium group; ZH: Ziyinrunzao pill high group.
| Group | Dose (g/kg) | IFN-γ (ng/L) | IL-10 (pg/mL) | TNF-α (ng/L) |
| Normal | - | 169.75±26.52 | 326.27±31.78 | 175.01±20.04 |
| Model | - | 365.43±34.30b | 205.98±30.51b | 381.01±37.32b |
| Hydroxychloroquinb sulfatb | 60 mg/kg | 289.5±24.32be | 243.43±36.44be | 287.68±29.90be |
| Ziyinrunzao pill low | 0.45 | 293.83±32.59be | 235.09±26.00be | 298.74±27.61be |
| Ziyinrunzao pill medium | 0.89 | 260.80±35.17be | 285.39±45.16be | 281.61±18.16be |
| Ziyinrunzao pill high | 1.78 | 217.92±20.53be | 297.84±26.99be | 249.25±27.98be |
Table 3 Comparison of IFN-γ, IL-10, and TNF-α levels in serum of different groups of mice ($ \overline{x} $±s, n=8)
| Group | Dose (g/kg) | IFN-γ (ng/L) | IL-10 (pg/mL) | TNF-α (ng/L) |
| Normal | - | 169.75±26.52 | 326.27±31.78 | 175.01±20.04 |
| Model | - | 365.43±34.30b | 205.98±30.51b | 381.01±37.32b |
| Hydroxychloroquinb sulfatb | 60 mg/kg | 289.5±24.32be | 243.43±36.44be | 287.68±29.90be |
| Ziyinrunzao pill low | 0.45 | 293.83±32.59be | 235.09±26.00be | 298.74±27.61be |
| Ziyinrunzao pill medium | 0.89 | 260.80±35.17be | 285.39±45.16be | 281.61±18.16be |
| Ziyinrunzao pill high | 1.78 | 217.92±20.53be | 297.84±26.99be | 249.25±27.98be |
| Group | Dose (g/kg) | AQP5 | M3R |
| Normal | - | 1.31±0.09 | 1.54±0.11 |
| Model | - | 0.62±0.06b | 0.54±0.07b |
| Hydroxychloroquinb sulfatb | 60 mg/kg | 0.89±0.02be | 1.00±0.11be |
| Ziyinrunzao pill low | 0.45 | 1.02±0.04be | 0.73±0.09be |
| Ziyinrunzao pill medium | 0.89 | 0.91±0.06be | 1.08±0.04be |
| Ziyinrunzao pill high | 1.78 | 0.95±0.03be | 1.18±0.06be |
Table 4 Comparison of AQP5 and M3R mRNA in SMG tissues of different groups of mice ($ \overline{x} $±s, n=8)
| Group | Dose (g/kg) | AQP5 | M3R |
| Normal | - | 1.31±0.09 | 1.54±0.11 |
| Model | - | 0.62±0.06b | 0.54±0.07b |
| Hydroxychloroquinb sulfatb | 60 mg/kg | 0.89±0.02be | 1.00±0.11be |
| Ziyinrunzao pill low | 0.45 | 1.02±0.04be | 0.73±0.09be |
| Ziyinrunzao pill medium | 0.89 | 0.91±0.06be | 1.08±0.04be |
| Ziyinrunzao pill high | 1.78 | 0.95±0.03be | 1.18±0.06be |
Fig.2 Comparison of AQP5 and M3R mRNA in SMG tissues of different groups of mice ($ \overline{x} $±s, n=8) NC: Normal group; MC: Model group; HCQ: Hydroxychloroquinb sulfatb group; ZL: Ziyinrunzao pill low group; ZM: Ziyinrunzao pill medium group; ZH: Ziyinrunzao pill high group. bP<0.05, compared with normal group; eP<0.05, compared with model group.
Fig.3 Comparison of AQP5 and M3R protein levels in SMG tissues of different groups of mice ($ \overline{x} $±s, n=8) NC: Normal group; MC: Model group; HCQ: Hydroxychloroquinb sulfatb group; ZL: Ziyinrunzao pill low group; ZM: Ziyinrunzao pill medium group; ZH: Ziyinrunzao pill high group. bP<0.05, compared with normal group; eP<0.05, compared with model group.
Fig.4 Comparison of AQP5 protein levels in SMG tissues of different groups of mice (IHC, $ \overline{x} $±s, n=8) NC: Normal group; MC: Model group; HCQ: Hydroxychloroquinb sulfatb group; ZL: Ziyinrunzao pill low group; ZM: Ziyinrunzao pill medium group; ZH: Ziyinrunzao pill high group. bP<0.05, compared with normal group; eP<0.05, compared with model group.
| 1 |
Lal S. Primary Sjögren's syndrome[J]. N Engl J Med, 2018, 379 (1): 96- 97.
doi: 10.1056/NEJMc1804598 |
| 2 |
Qin B, Wang J, Yang Z, et al. Epidemiology of primary Sjogren's syndrome: a systematic review and meta-analysis[J]. Ann Rheum Dis, 2015, 74 (11): 1983- 1989.
doi: 10.1136/annrheumdis-2014-205375 |
| 3 |
Zhang Q, Lv X, Wang Y, et al. Expression of CFTR, a hallmark gene of ionocytes, is downregulated in salivary glands of Sjögren's syndrome patients[J]. Arthritis Res Ther, 2022, 24 (1): 263.
doi: 10.1186/s13075-022-02959-8 |
| 4 |
Bjordal O, Norheim KB, Rødahl E, et al. Primary Sjögren's syndrome and the eye[J]. Surv Ophthalmol, 2020, 65 (2): 119- 132.
doi: 10.1016/j.survophthal.2019.10.004 |
| 5 |
Horeth E, Oyelakin A, Song EC, et al. Transcriptomic and single-cell analysis reveals regulatory networks and cellular heterogeneity in mouse primary Sjögren's syndrome salivary glands[J]. Front Immunol, 2021, 12, 729040.
doi: 10.3389/fimmu.2021.729040 |
| 6 | Kroese FGM, Haacke EA, Bombardieri M. The role of salivary gland histopathology in primary Sjögren's syndrome: promises and pitfalls[J]. Clin Exp Rheumatol, 2018, 112 (3): 222- 233. |
| 7 |
Jonckheere S, Adams J, de Groote D, et al. Epithelial-mesenchymal transition (EMT) as a therapeutic target[J]. Cells Tissues Organs, 2021, 5, 1- 26.
doi: 10.3389/978-2-83251-634-8 |
| 8 | 邹芳霞, 王钢, 漆文霞. 基于“肺与大肠相表里”理论探讨滋阴润燥丸治疗原发性SS[J]. 中医药临床杂志, 2022, 34 (2): 211- 214. |
| 9 | Roszkowska AM, Rauz S, Szczepańska A, et al. Ophthalmologic manifestations of primary Sjögren's syndrome[J]. Genes (Basel), 2021, 12 (4): 542. |
| 10 |
Singh N, Cohen PL. The T cell in sjogren's syndrome: Force majeure, not spectateur[J]. Autoimmun, 2012, 39 (3): 229- 233.
doi: 10.1016/j.jaut.2012.05.019 |
| 11 |
Zhao H, Li Q, Ye M, et al. Tear luminex analysis in dry eye patients[J]. Med Sci Monit, 2018, 24, 7595- 7602.
doi: 10.12659/msm.912010 |
| 12 |
Chen X, Aqrawi LA, Utheim TP, et al. Elevated cytokine levelsin tears and saliva of patients with primary Sjögren's syndrome correlate with clinical ocular and oral manifestations[J]. Sci Rep, 2019, 9, 7319.
doi: 10.1038/s41598-019-43714-5 |
| 13 |
Yin H, Vosters JL, Roescher N, et al. Location of immunization and interferon-gamma are central to induction of salivary gland dysfunction in Ro60 peptide immunized model of Sjogren's syndrome[J]. PLoS One, 2011, 6, e18003.
doi: 10.1371/journal.pone.0018003 |
| 14 |
Torres-Aguilar H, Sosa-Luis SA, Aguilar-Ruiz SR. Infections as triggers of flares in systemic autoimmune diseases: Novel innate immunity mechanisms[J]. Curr Opin Rheumatol, 2019, 31, 525- 531.
doi: 10.1097/BOR.0000000000000630 |
| 15 |
Yoshimura S, Nakamura H, Horai Y, et al. Abnormal distribution of AQP5in labial salivary glands is associated with poor saliva secretion in patients with Sjögren's syndrome including neuromyelitis optica complicated patients[J]. Mod Rheumatol, 2016, 26, 384- 390.
doi: 10.3109/14397595.2015.1083146 |
| 16 |
Caraba A, Iurciuc S, Nicolin M, et al. Endothelial dysfunction in primary Sjögren's syndrome: correlation with serum biomarkers of disease activity[J]. Int J Mol Sci, 2023, 24 (18): 13918.
doi: 10.3390/ijms241813918 |
| 17 | Abe S, Tsuboi H, Kudo H, et al. M3 muscarinic acetylcholine receptor-reactive Th17 cells in primary Sjögren's syndrome[J]. JCI Insight, 2020, 5 (15): e135982. |
| 18 |
Steinfeld S, Cogan E, King LS, et al. Abnormal distribution of aquaporin-5 water channel protein in salivary glands from Sjögren syndrome patients[J]. Lab Invest, 2001, 81 (2): 143- 148.
doi: 10.1038/labinvest.3780221 |
| 19 |
Ishibashi K, Kondo S, Hara S, et al. The evolutionary aspects of aquaporin family[J]. Am J Physiol Regul Integr Comp Physiol, 2011, 69 (3): R566- R576.
doi: 10.1007/978-94-024-1057-0_2 |
| 20 |
Tzartos JS, Stergiou C, Daoussis D, et al. Antibodies to aquaporins are frequentin patients with primary Sjögren's syndrome[J]. Rheumatology (Oxford), 2017, 56 (12): 2114- 2122.
doi: 10.1093/rheumatology/kex328 |
| 21 | Konttinen YT, Tensing EK, Laine M, et al. Abnormal distribution of aquaporin-5 in salivary glands in the NOD mouse model for Sjögrens syndrome[J]. J Rheumatol, 2005, 32 (6): 1071- 1075. |
| 22 | 李晓宇, 韩星海. SS与水通道蛋白-5[J]. 中华风湿病学杂志, 2017, 11 (6): 378- 380. |
| 23 | 阮光峰. 水通道蛋白5在SS发病机制中的作用研究进展[J]. 同济大学学报: 医学版, 2016, 37 (2): 113- 117. |
| 24 |
Lee SM, Lee SW, Kang M, et al. FoxO1 as a regulator of aquaporin 5 expression in the salivary gland[J]. Dent Res, 2021, 100 (11): 1281- 1288.
doi: 10.1177/00220345211003490 |
| 25 |
Alam J, Koh JH, Kwok SK, et al. Functional epitopes for anti-aquaporin 5 antibodies in Sjögren syndrome[J]. J Rheumatol, 2017, 44 (9): 1317- 1325.
doi: 10.1177/0022034517717965 |
| 26 |
Shaalan A, Carpenter G, Proctor G. Epithelial disruptions, but not immune cell invasion, induced secretory dysfunction following innate immune activation in a novel model of acute salivary gland injury[J]. Oral Pathol Med, 2018, 47 (2): 211- 219.
doi: 10.1111/jop.12663 |
| 27 |
Nguyen CQ, Peck AB. The interferon-signature of Sjögren's syndrome: How unique biomarkers can identify underlying inflammatory and immunopathological mechanisms of specific diseases[J]. Front Immunol, 2013, 4, 142.
doi: 10.3389/fimmu.2013.00142 |
| 28 |
Mona M, Mondello S, Hyon JY, et al. Clinical usefulness of anti-muscarinic type 3 receptor autoantibodies in patients with primary Sjögren's syndrome[J]. Clin Exp Rheumatol, 2021, 39 (4): 795- 803.
doi: 10.55563/clinexprheumatol/gy6udz |
| 29 |
Choi SS, Jang E, Jang K, et al. Autoantibody-mediated dysfunction of salivaryglands leads to xerostomia in SKG mice[J]. Immune Network, 2019, 19 (6): e44.
doi: 10.4110/in.2019.19.e44 |
| 30 | 秦源, 林崇泽, 孙晗, 等. 滋阴润燥丸对SS颌下腺细胞AQP5及M3R表达的影响[J]. 中国中医急症, 2017, 26 (1): 5- 8. |
| [1] | Xiaoping SHEN, Dong WU, Lili YU, Bin WU. Potential role and therapeutic prospects of glycolysis-lactylation modification in asthma [J]. Chinese Journal of Clinical Pharmacology and Therapeutics, 2026, 31(1): 96-106. |
| [2] | Yiru WEN, Jinlamu YANG, Ga MEI, Na LI, Yapeng LU, Yan ZHANG, Jieting LIU. Progress in research on macrophage polarization, intestinal flora and their metabolites in organ injury [J]. Chinese Journal of Clinical Pharmacology and Therapeutics, 2026, 31(1): 125-132. |
| [3] | JIN Lili1, QIE Tao2, LI Liqin3. Semaglutide alleviates hypoxia/reoxygenation-induced inflammatory injury of AC16 human cardiomyocytes by regulating autophagy through AMPK/mTOR/ULK1 pathway [J]. Chinese Journal of Clinical Pharmacology and Therapeutics, 2025, 30(8): 1058-1066. |
| [4] | WANG Qian1, 2, 3, LIANG Changchang1, 2, 3, SHEN Shipeng1, 2, 3, LIU Maodong1, 2, 3, BAI Lu1, 2, 3. Research progress on the mechanism of IL-33/ST2 signaling pathway in kidney diseases [J]. Chinese Journal of Clinical Pharmacology and Therapeutics, 2025, 30(8): 1122-1126. |
| [5] | HUANG Yunchao, WANG Yiqiong, ZHANG Ting, ZHANG Jun, LI Lan, ZHANG Ling. Study on the effects of crocetin in improving lower limb ischemia in diabetes mellitus through Anti-inflammatory actions and promotion of angiogenesis [J]. Chinese Journal of Clinical Pharmacology and Therapeutics, 2025, 30(7): 899-906. |
| [6] |
SU Hong, CHENG Qian, WANG Yaxuan, DAI Chongyang, ZHAO Fubang , PU Xiaoyan.
Dynamic changes of neutrophil extracellular traps (NETs) release and microcirculatory disorders associated with high altitude pulmonary edema after high altitude hypoxia exposure
[J]. Chinese Journal of Clinical Pharmacology and Therapeutics, 2025, 30(6): 732-740.
|
| [7] | CUI Hanyu, HU Changping. Research progress on the role of macrophage polarization in cardiovascular diseases [J]. Chinese Journal of Clinical Pharmacology and Therapeutics, 2025, 30(4): 548-555. |
| [8] | YANG Fan, JIN Liang, CHEN Luyang, LI Lan, ZHOU Haifeng, WU Jing. Mg2+/quercetin-loaded alginate hydrogel exerts immunomodulatory effects by suppressing neutrophil inflammation and oxidative stress [J]. Chinese Journal of Clinical Pharmacology and Therapeutics, 2025, 30(12): 1640-1647. |
| [9] | WANG Huan, ZHANG Junxiu, ZHANG Ya, RONG Hao, WANG Youdi, WANG Wusan, MA Tongjun. Eriodictyol resists vascular remodeling in spontaneously hypertensive rats by inhibiting TLR4 / NF-κB signaling [J]. Chinese Journal of Clinical Pharmacology and Therapeutics, 2024, 29(9): 1002-1010. |
| [10] | WANG Yuhui, WANG Jingpeng, CHEN Bei, WANG Yaru, LI Tangliang. Research progresses of nonsense-mediated mRNA decay in tumorigenesis and cancer therapy [J]. Chinese Journal of Clinical Pharmacology and Therapeutics, 2024, 29(8): 930-936. |
| [11] | LI Ning, ZHANG Hui, ZHOU Junhui. Effect of sub-anesthetic dose of esketamine on chronic post-surgery pain in patients undergoing radical mastectomy of breast cancer [J]. Chinese Journal of Clinical Pharmacology and Therapeutics, 2024, 29(6): 671-679. |
| [12] | SUN Hong, HAN Chao, LEI Daoyun, LIU Jinming. Lraglutide improves postoperative cognitive function of aged mice via inhibiting the β-arrestin2/STING/TBK1 pathway [J]. Chinese Journal of Clinical Pharmacology and Therapeutics, 2024, 29(12): 1419-1426. |
| [13] | YU Jiawang, YU Tingting, GAO Huaxin, KE Jie, YIN Xian. Effects of melittin on acute lung injury in mice based on TLR4/NF-kB signaling pathway [J]. Chinese Journal of Clinical Pharmacology and Therapeutics, 2024, 29(11): 1232-1239. |
| [14] | CHEN Lijun, FANG Wei. Protective effects and mechanism of bicyclol against sepsis-induced fulminant hepatitis in mice [J]. Chinese Journal of Clinical Pharmacology and Therapeutics, 2024, 29(11): 1249-1259. |
| [15] | LIN Xinyue, WANG Yanyan, BIAN Hongsheng, YU Shuang, HUANG Lili. Research progress on physiological and pathological functions of salt-inducible kinase and its inhibitors [J]. Chinese Journal of Clinical Pharmacology and Therapeutics, 2024, 29(11): 1306-1314. |
| Viewed | ||||||
|
Full text |
|
|||||
|
Abstract |
|
|||||